Before and After Gallery
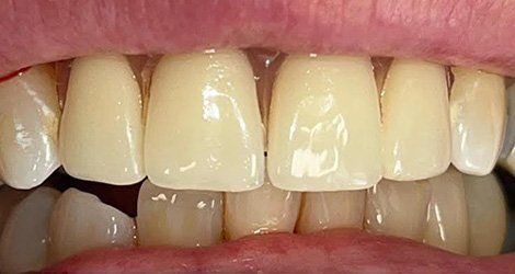
Another gorgeous smile transformation
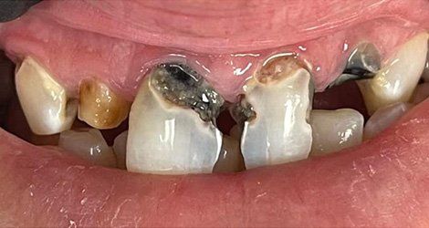
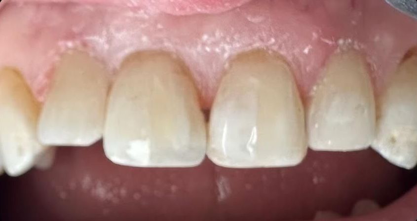
Smile transformation on this beauty
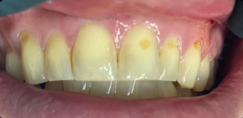
Temporary smile restoration on this beautiful lady until permanent restoration can be completed!
Patient had full upper extraction and denture
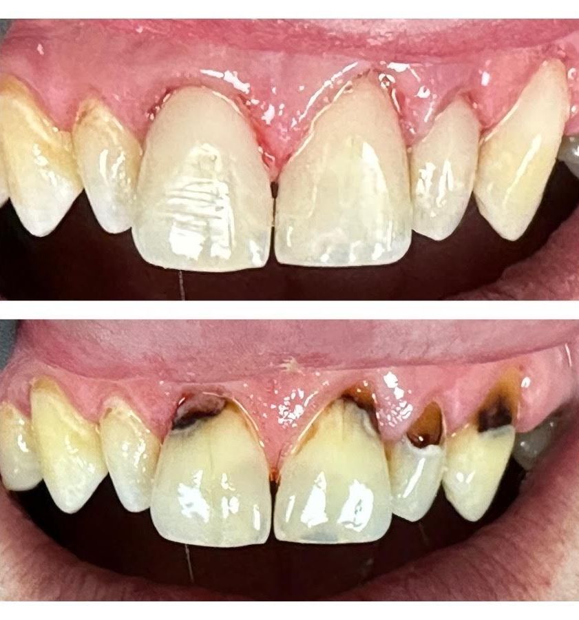
Smile Transformation
Another gorgeous smile transformation
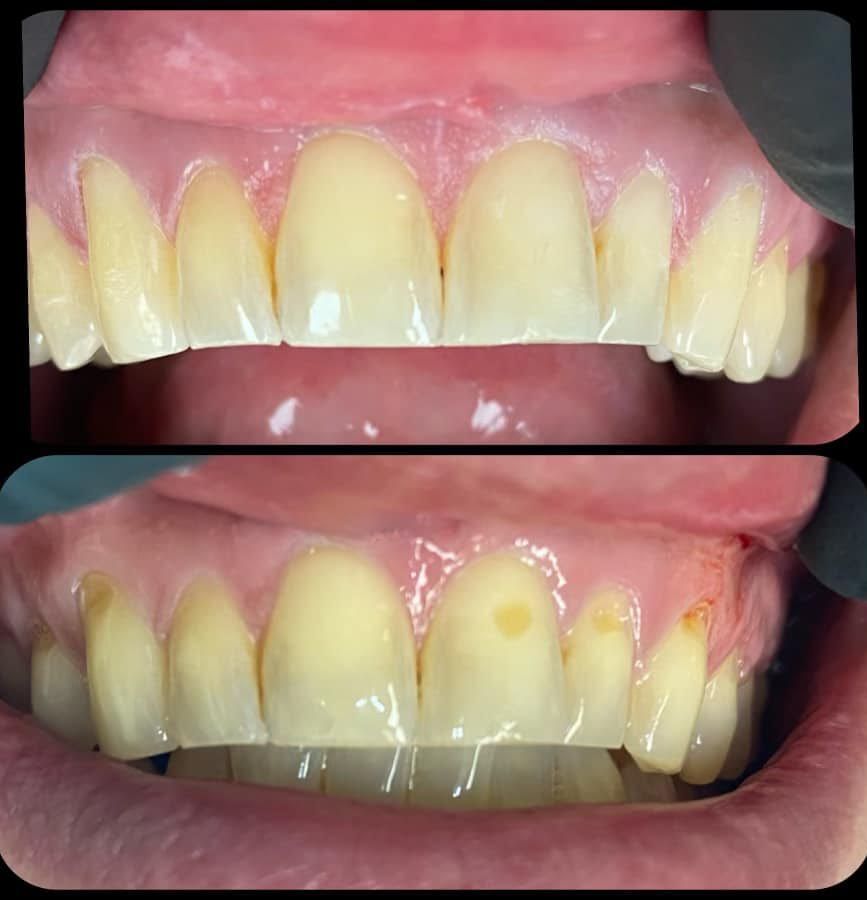
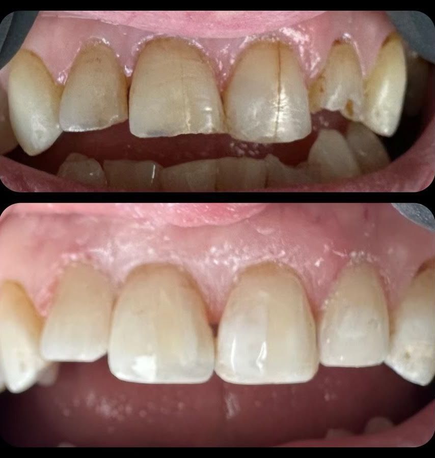
Smile Transformation
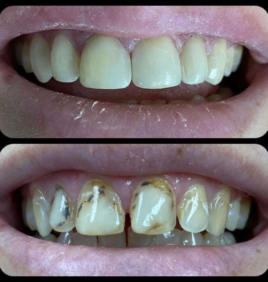
Another Smile Transformation

























